Комп'ютерна томографія
Щелепно-лицева діагностика
На обладнанні нового покоління
На обладнанні нового покоління
Dysfunkce temporomandibulárního kloubu
Časový mandibulární kloub je jedním z nejsložitějších a nejaktivnějších kloubů v člověk tělo.Tento kloub provádí pohyby, které nám umožňují mluvit, žvýkat jídlo a hrát odlišný funkce Maxilofaciální oblast.Někteří lidé však mohou čelit dysfunkci temporomandibular Kloub, který vede k bolesti, omezení pohybu a další nepříjemné příznaky.
Příznaky a klinické projevy dysfunkce temporomandibulární tkáně se mohou lišit Z konkrétního problému, ale hlavní rysy mohou zahrnovat:
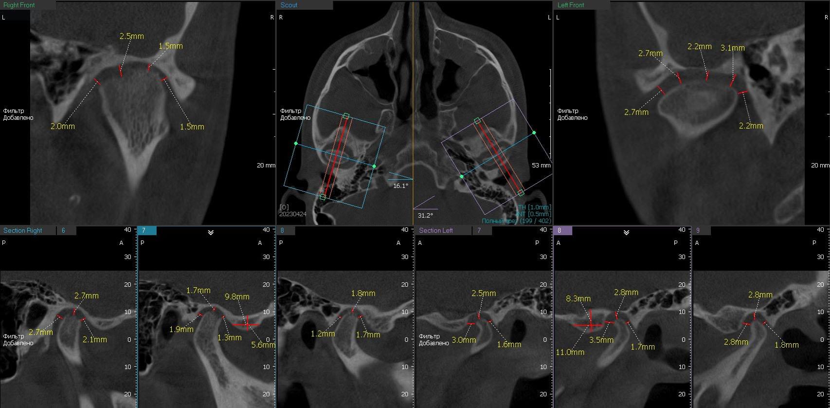
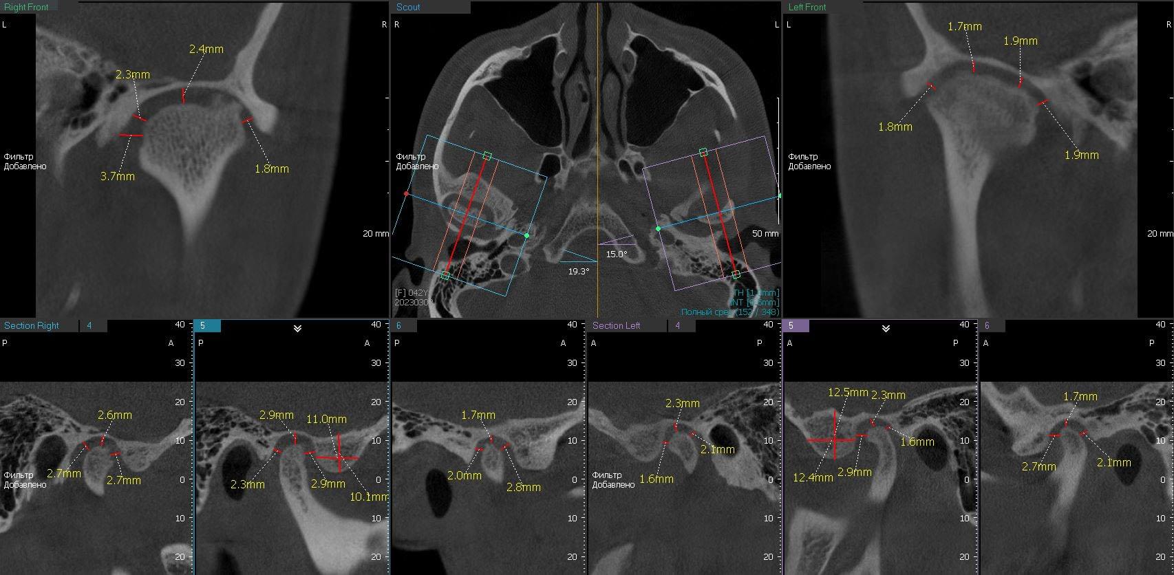
Pokud máte pochybnosti o svém temporomandibulárním kloubu, Myray Lab je tvoje spolehlivý Partner v diagnostice a identifikaci příčin této dysfunkce.Specializujeme se na provádění CT kloubů, lebek a okolních tkání, které nám umožňují podrobně vyhodnotit struktura a Funkce temporomandibulárního kloubu.
Jednou z hlavních výhod spolupráce s laboratoří je naše vysokoškolské vybavení, které Používá se v procesu CT.Používáme pokročilé technologie, které poskytují obraz vysoký vlastnosti a umožňují vám získat podrobné informace o stavu kloubu.Naše společnost Myray Lab použití inovativní metody a přístupy, které pomáhají našim klientům při přesné diagnóze a porozumění Problémy o jejich temporomandibulárním kloubu.
Zdraví našich zákazníků je naší prioritou, takže k každému nabízíme individuální přístup Pacient, který nás kontaktuje pro diagnostiku dysfunkce temporomandibulární kloubů.Náš Zkušení odborníci používají kombinaci klinické studie a CT skenování, aby to zjistili Příčiny příznaků a vyvinout účinný léčebný plán.



Pokud čelíte podobným příznakům, neváhejte kontaktovat naši společnost Myray Lab Diagnóza dysfunkce temporomandibulárního kloubu.Více informací o našem najdete Služby a kontaktní informace na našem webu myraylab.com.ua.
Může být vaše zdraví ve spolehlivých rukou Myray Lab, vedoucí diagnostického poskytovatele CT a výzkum klouby v Kyjevě.Udělejte první krok ke zlepšení svého života a dnes se k nám obrátíte.